Greffe de gencive à Paris – Traitement des récessions gingivales

La greffe de gencive, également appelée greffe gingivale, est un traitement chirurgical destiné à corriger les récessions gingivales. Cette procédure permet de renforcer la gencive, de protéger la racine des dents exposées, et d’améliorer l’esthétique du sourire.
Au sein de notre cabinet dentaire à Paris, nous réalisons des greffes de gencive avec des techniques modernes et peu invasives, pour un résultat durable et naturel.
Qu’est-ce qu’une récession gingivale ?
La récession gingivale se traduit par une gencive qui se rétracte, laissant apparaître la racine de la dent. Elle peut être causée par :
- Un brossage trop agressif
- Une inflammation chronique (gingivite, parodontite)
- Une prédisposition anatomique (gencive fine et festonnée, frein iatrogène)
- Le port d’un piercing oral ou une malposition dentaire
Sans traitement, elle peut évoluer et entraîner une sensibilité dentaire, un risque de carie sur la racine, et une perte de soutien de la dent.
Pourquoi faire une greffe de gencive à Paris ?
La greffe de gencive permet :
- De recouvrir la racine dentaire exposée
- De prévenir l’aggravation de la récession
- D’améliorer l’esthétique du sourire
- De stabiliser l’état parodontal
Nous utilisons des techniques comme :
- La greffe conjonctive enfouie (technique tunnel)
- La greffe libre épithélio-conjonctive
- Le traitement par lambeau déplacé coronairement
Déroulement de la greffe de gencive dans notre cabinet à Paris
La procédure se fait sous anesthésie locale, dans une salle dédiée à la chirurgie, et le temps d’intervention dépends du nombre de dents à traiter. Il faut compter un minimum de 2h au cabinet. Nous vous remettons un protocole post-opératoire détaillé et assurons un suivi personnalisé.

Localisation : Notre cabinet se situe à Paris 17ème, proche de la place de l’Etoile, accessible facilement en métro ou en voiture.
Tarif et prise en charge
Le tarif d’une greffe gingivale varie selon la complexité du cas. Il n’y a pas de prise en charge par la sécurité sociale, mais potentiellement une prise en charge par votre mutuelle.
Pour un devis personnalisé, n’hésitez pas à nous contacter.
Prendre rendez-vous pour une greffe de gencive à Paris
Vous souffrez de gencives qui se rétractent ? Prenez rendez-vous dans notre cabinet spécialisé en parodontologie à Paris. Nous vous proposons un bilan gingival complet et un plan de traitement adapté.
FAQ – Greffe de gencive à Paris
Qu’est-ce qu’une greffe de gencive ?
La greffe de gencive est une intervention chirurgicale qui consiste à ajouter du tissu gingival afin de recouvrir une racine dentaire exposée, renforcer la gencive et stopper la progression d’une récession gingivale.
Pourquoi faire une greffe de gencive à Paris ?
À Paris, vous bénéficiez de cabinets spécialisés comme le nôtre, équipés de technologies modernes et d’une expertise en parodontologie. Faire une greffe de gencive permet de protéger les racines dentaires, réduire la sensibilité, et améliorer l’esthétique du sourire.
La greffe de gencive est-elle douloureuse ?
L’intervention se déroule sous anesthésie locale, elle est donc indolore pendant la procédure. Après l’acte, une légère gêne peut survenir pendant quelques jours, mais elle est bien contrôlée par les antalgiques prescrits.
Combien coûte une greffe de gencive à Paris ?
Le tarif dépend du type de greffe réalisée et de la complexité du cas (nombre de dents à traiter). Le prix d’une greffe de gencive à Paris commence à partir de 890 euros par secteur traité. Une partie peut être prise en charge par votre mutuelle selon votre contrat.
Combien de temps dure une greffe de gencive ?
L’intervention dure généralement un minimum de 2 heures, selon le nombre de dents concernées. Le suivi post-opératoire est essentiel pour garantir une bonne cicatrisation.
Quelles sont les suites opératoires après une greffe de gencive ?
Un léger gonflement (oedème) ou une sensibilité peuvent apparaître. Il est recommandé d’éviter les aliments durs, de maintenir une hygiène bucco-dentaire rigoureuse, et de suivre les consignes du chirurgien-dentiste. Certains patients développerons également un hématome (bleu) qui sera éliminé en quelques jours. Enfin, les fils de sutures peuvent entrainer une gêne les jours suivants, ils seront retirés à 10 jours post opératoire minimum.
Quels sont les résultats attendus ?
Les résultats sont visibles en quelques semaines. La gencive retrouve un aspect plus épais, la racine est protégée, et le sourire retrouve son harmonie. La greffe permet aussi de stabiliser les tissus pour prévenir une aggravation.
Puis-je reprendre le travail après une greffe gingivale ?
Oui, dans la majorité des cas, une reprise d’activité en douceur est possible dès le lendemain. Toutefois, il est conseillé d’éviter les efforts physiques intenses pendant quelques jours.
Greffe gingivale sur 3 dents du haut


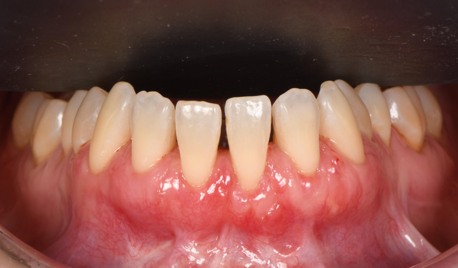
Greffe gingivale sur les 4 incisives mandibulaires


Greffe gingivale sur l’incisive mandibulaire 41


Greffe gingivale sur l’incisive mandibulaire 31


Greffe gingivale sur les deux canines du bas


À découvrir également :